sp-template-quote-icon

Найпрекрасніше в Германській Новій Медицині – дар розуміння конкретного сенсу будь-якої хвороби. Це можна порівняти лише з відчуттям щастя сліпої людини, яка раптом прозріла.

Раніше в пошуках сенсу захворювання думали про «кару божу», «карму», «зурочення» або шукали якусь іншу причину. Традиційна медицина взагалі не переймається зайвими питаннями і виходить з того, що людина являє собою якийсь органічний мішок, набитий тканинами і хімічними елементами – продукт випадковості, схильний до «помилок» і «збоїв».

Завдяки відкриттю Біологічних Законів Природи ми можемо стверджувати, що Мати-Природа має щодо нас найкращі наміри і що в неї все добре впорядковано. Доцільні Біологічні Спецпрограми старі, як світ, – випробувані мільйони років. Вони запускаються в організмі лише тоді, коли ми зненацька потрапляємо у виняткові драматичні життєві ситуації. Але саме завдяки відпрацюванню цієї спеціальної програми ми й вчимося жити, набуваючи різноманітного життєвого досвіду, отримуємо нові навички та вміння.

«ЗЛОЯКІСНА» ЧИ «ДОБРОЯКІСНА»?

Традиційна медицина за досить різноманітними критеріями визначає «доброякісність» зростання тканини або її «злоякісність». Поруч із величиною пухлини, її зовнішнім виглядом та особливостями розростання, вирішальне слово залишається за мікроскопічною діагностикою – біопсією. У випадку виявлення в обстежуваній тканині великої кількості збільшених у розмірах клітин із збільшеними ядрами, діагноз звучить як вирок – «злоякісна пухлина».

Для інформації: приріст тканини в організмі відбувається завжди однаково – клітина розбухає, її ядро та інші структури розмножуються. Незадовго до свого поділу клітина майже вдвічі більша за свої звичайні розміри. Потім вона утворює «шийку» і ділиться – замість однієї клітини виходить дві, причому вони помітно відрізняються від інших саме великими ядрами. Виходячи з цього, правильно було б говорити не про «злоякісну пухлину», а про «зростаючу тканину». Традиційна медицина не може однозначно провести кордон між «добром» та «злом» щодо пухлин. Найчастіше різні гістологи та лабораторії суперечать один одному! Особливо це стосується випадків, коли зростання тканини тільки почалося або вже майже закінчилося.

Раніше ми думали, що «неконтрольоване» зростання тканин є помилкою природи. Тепер ми знаємо, що тканина не починає рости просто так! ДБС запускається лише за наявності біологічної необхідності. Якщо помістити під мікроскоп тканину ембріона або тканину рани в процесі загоєння, то, за логікою традиційної медицини, довелося б віднести побачене до розряду «злоякісного», оскільки ми спостерігали б і тут інтенсивне зростання. Подібний абсурдний діагноз був би поставлений при біопсії кісткової тканини з ділянки з переломом. Тканина, що росте в місці перелому, не відрізняється від тканини остеосаркоми – раку кістки. Подібний діагноз вийшов би при біопсії клітин молочної залози у вагітної жінки – у цей період спостерігається зростання клітин молочних залоз, і гістологічний аналіз показав наявність «злоякісного раку грудей». Так само і в жінки, яка переживає конфлікт, пов’язаний із турботою про хвору дитину, виявляється «злоякісний рак грудей» - тобто зростання клітин залозистої тканини грудей. Коли конфлікт вирішується, процес зростання відразу зупиняється, і в цій фазі обстеження покаже «доброякісну пухлину», після чого лікарі кажуть: «Вам просто пощастило!».

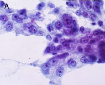
Snimok_ekrana_2024-10-09_115758_1

Нормальні клітини – тканина, що не росте, клітини мають приблизно однакові розміри і форму, лише окремі деякі клітини знаходяться у фазі поділу.

Діагноз: доброякісна тканина.

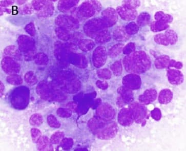
Snimok_ekrana_2024-10-09_115827_1

Клітини неоднорідних розмірів і форми – тканина, що росте. Багато клітин знаходяться в процесі поділу, що помітно за наявності у них збільшених ядер і перетяжок.

Діагноз: злоякісна тканина.

Отже, як бачите, поділ новоутворень на «доброякісні» та «злоякісні» є «середньовічний раритет» і має дуже мало спільного з наукою. У ті часи в людях підбурювали страх перед пеклом, а сьогодні їм розповідають казку про «злий рак», «небезпечні віруси» або «метастази». І тоді, і сьогодні наміри однакові – тримати людей у страху, щоб мати змогу привласнити їхні гроші. Тоді людей робили залежними від церкви та релігійного догматизму, тепер – від фармацевтичної та онкоіндустрії, ортодоксальної медицини.

SendPulse logoСтворіть свій сайт за допомогою SendPulse